Cheilymenia dennisii J. Moravec (2005)

Etimologia: Cheilymenia, dal greco “cheilos”= labbro, e “hymén”= membrana, per l'orlo sporgente che racchiude l'imenio del fungo, e “dennisii” in onore del botanico e micologo britannico Richard William George Dennis (1910-2003).

 

Ascocarpo formato da un apotecio sessile.
Apoteci 0,2-0,8-mm di diametro, orbicolari, pulvinati, allo stadio adulto piattiforme, con crescita a gruppi di numerosi individui appressati, Imenio giallo-arancio, rosso-arancio, superficie esterna concolore, ricoperta di piccoli peli bruni, sparsi, che risalgono sul margine.
Carne fragile, concolore.
Habitat escrementi di cervidi.

Immagine 2 3

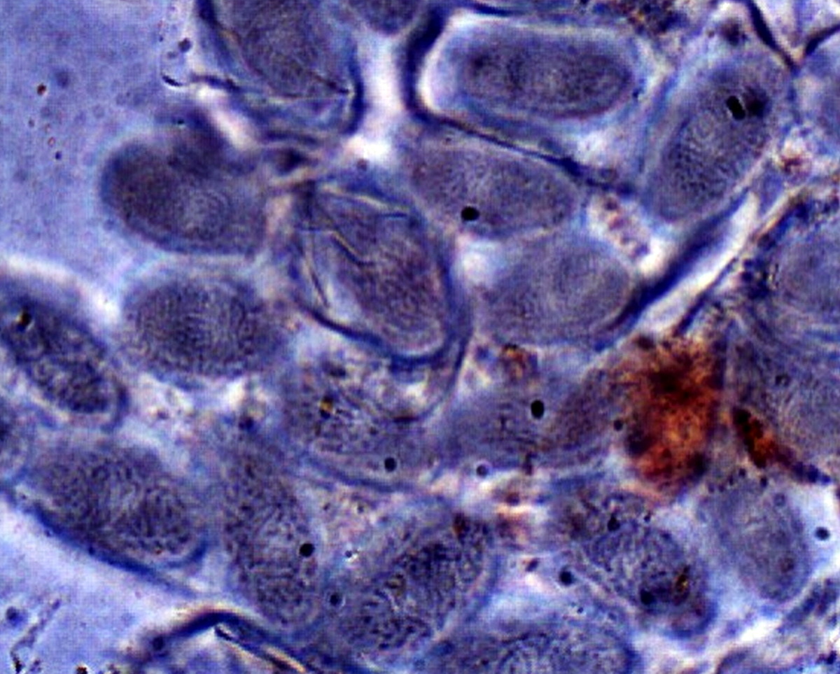
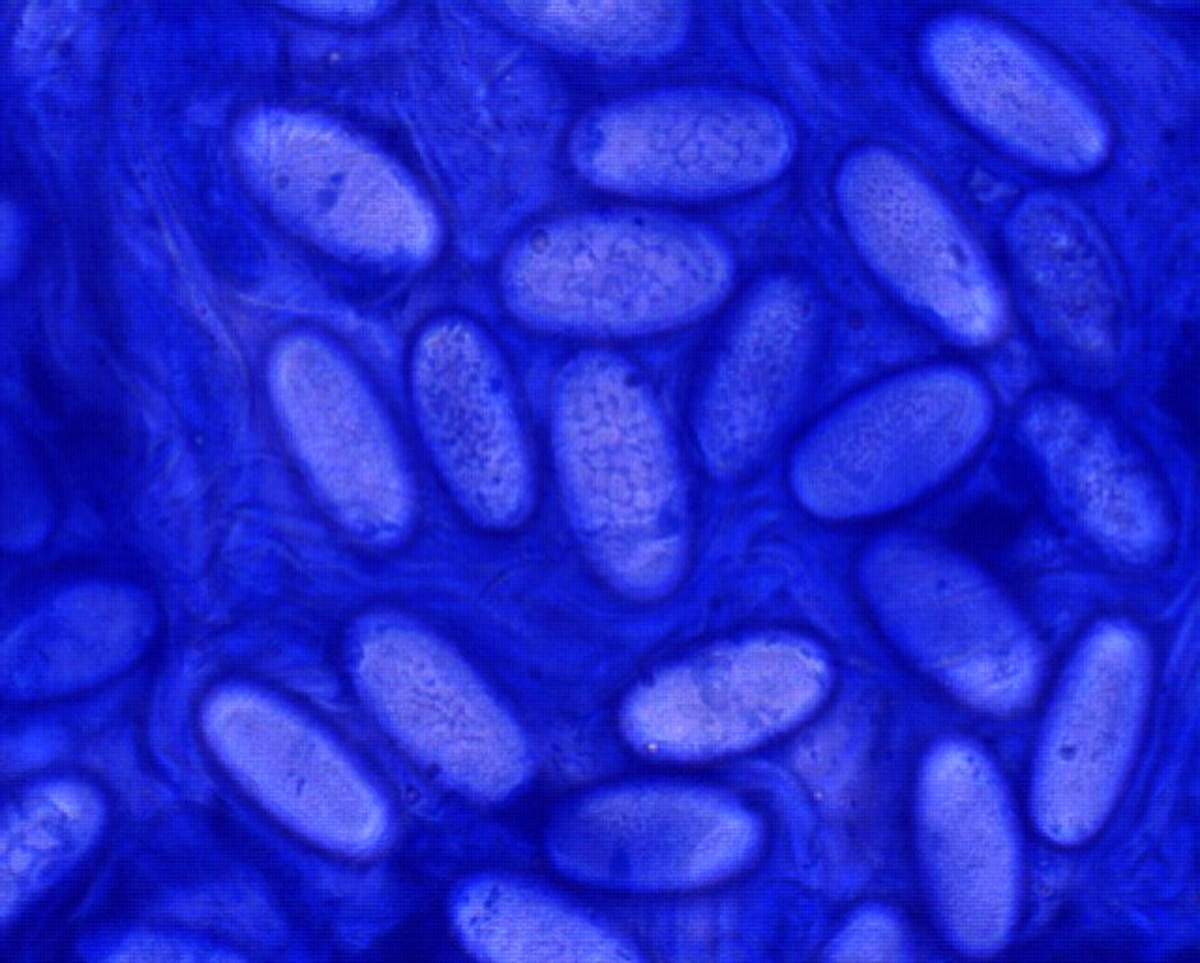
Microscopia:
Aschi: 2: cilindrici, ottosporici, non amiloidi, opercolati, base pleurorinca, 182,54-283,80 x 13,25-19,41 µm.
Ascopore: 2: 3: ellissoidali, uniseriate all’asco, lisce in acqua, con ornamentazione, Blu Cotone, (17,69)18,58-20,11-21,04(22,16) × (10,38)10,67-11,325-12,85(13,92)µm, (n°66), Q= (1,57 )1,596 - 1,794(1,87), media 19,85 × 11,67µm, Qm. 1,7.
Parafisi: moniliformi, settate, allargate all’apice, (6,79)7,61-9,03-10,27(10,43)µm, fortemente interessate da fortulismo: 2:, con pigmento arancio.
Peli: 2: 3: rigidi, con apice appuntito, base semplice raramente leggermente biforcata, peli marginali (299,10)318,73-392,495-558,35(584,14) × (13,30)16,15-26,225-30,35(31,47)µm, peli esterni (84,02)130,41-190,16-233,12(248,43) × (18,59)18,91-27,095-27,46(33,15)µm, a parete spessa, spessore parete (1,44)1,77-2,465-3,35(3,88)µm, base larga (13,00)14,98-21,245-24,91(26,79)µm.
Peli ifoidi: 2: cilindrici, ialini.
Excipulum medullare: a texatura intricata composto da ife settate, ± cilindriche, ialine, larghe (6,47)9,03-14-15,21(17,63)µm, parallele alla superficie imeniale
Excipulum ectale: 2: a texatura globulosa-angularis, composto da cellule subglobose (41,54)44,21-52,78-60,36(66,16) × (36,93)38,59-43,2-50,94(52,53)µm.

Ambiente: Boschi di aghifoglie e latifoglie

[< Precedente] [HOME] [Seguente >]