Anthracobia melaloma (Alb. & Schwein.) Arnould (1893)
Etimologia: melanoma dal greco “mela”= nero, e “loma”= margine, per le ciliature nere al margine del carpoforo.

 

Ascocarpo 04-06 mm di diametro, composto da un Apotecio sessile, a forma di coppa semichiusa poi discoidale appianato, Imenio liscio, acra-giallastro, arancione, superficie esterna ± concolore, margine ± regolare con ciuffi di peli agglutinati bruni-nerastri.
Carne cerosa, fragile, arancione.
Habitat terreno bruciato, con crescita di parecchi individui appressati.

Immagine2

Microscopia:
Ascospore: 2: ellissoidali, spore uniseriate negli aschi, biguttulate, (17,01)17,49-18,445-19,43(20,46) × (8,13)8,31-8,685-9,45(9,95)µm, (n°66), Q= (1,88 )1,957 - 2,21(2,30), media 18,43 × 8,80µm, Qm= 2,1.
Aschi: 2: cilindrici, ottosporici, operculati, base pleurorinca, non amiloidi, (152,30)161,20-175,725-199,64(203,66) × (9,78)11,37-12,225-15,19(16,06)µm.
Parafisi: 2: cilindriche, settate, con contenuto granuloso, apice claviforme largo (5,31 )5,497 - 8,155(8,40)µm, con pigmento granulare arancio che vira al verde con reagente di Melzer.
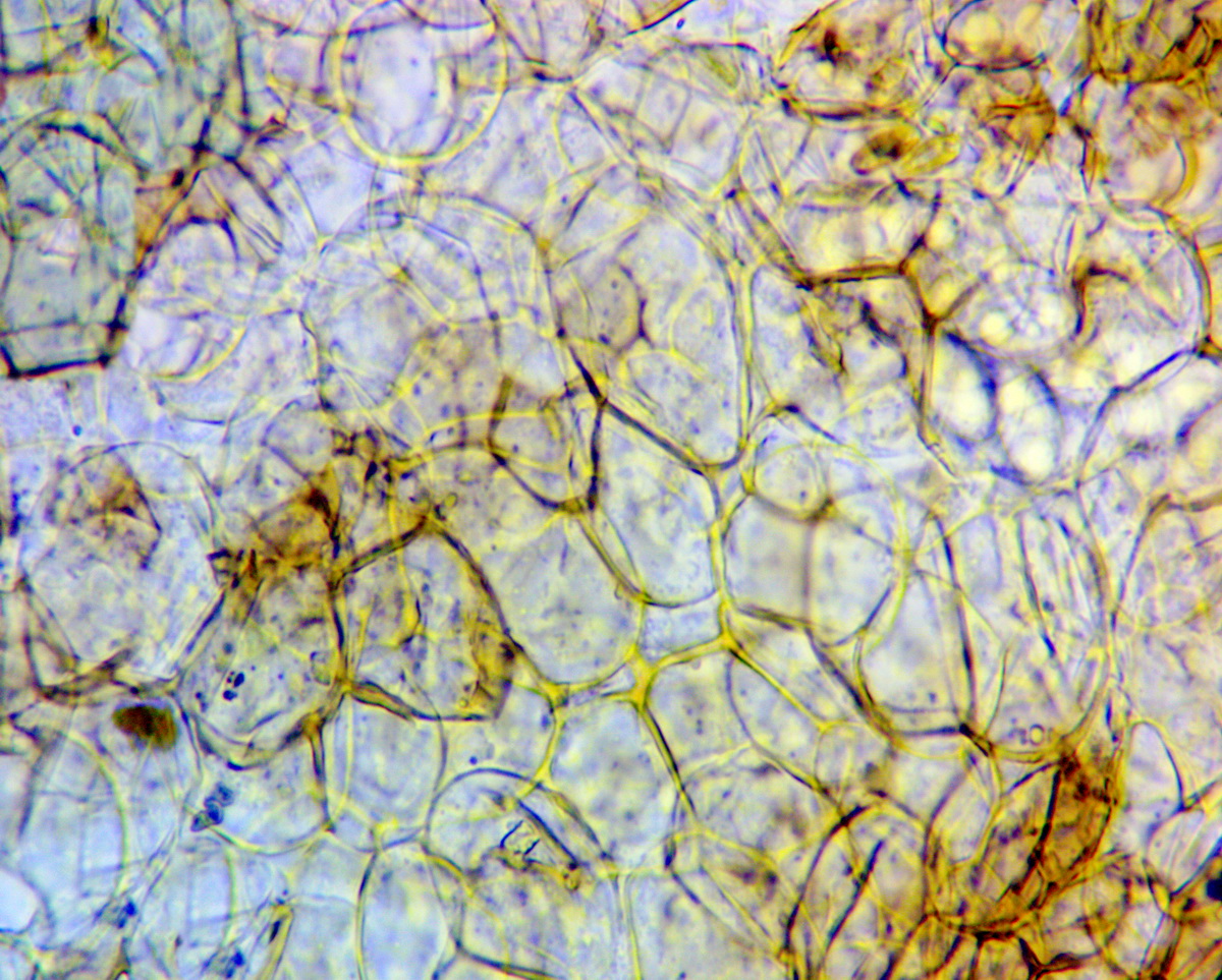
Subimenio: formato da elementi di varia forma cilindrici subglobosi a poligonali.
Excipulum medullare: 2: formato da una textura angularis, (23,64)27,80-36,65-49,13(49,28) (16,62)18,68-27,25-34,09(44,45) µm.
Excipulum ectale: 2: formato da una textura globulare, con cellule (30,71)32,92-37,93-53,48(54,27) × (23,31)23,73-29,71-40,36(40,39).
Peli: 2: cilindrici-claviformi, lisci, settati, parete sottile, apice arrotondato, brunastri, (48,89)51,31-52,21-79,89(92,76) × (7,20)9,30-11,865-14,18(15,00)µm.

Ambiente: Boschi di aghifoglie e latifoglie

[< Precedente] [HOME] [Seguente >]