Rutstroemia bulgarioides (Rabenh.) P. Karst. (1871)

Sinonimi:
Chlorociboria bulgarioides (Rabenh.) C.S. Ramamurthi, Korf & L.R. Batra, Mycologia 49: 860 (1958) [1957]
Peziza bulgarioides Rabenh.
Piceomphale bulgarioides (Rabenh.) Svrcek, Ceská Mykol. 11: 237 & 240 (1957)

Etimologia: Rutstroemia, genere di funghi dedicato allo svedese Carl Birger Rutstrom (1758-1826), e bulgarioides, perché simile ad una Bulgaria.

 

Ascocarpo formato da un apotecio e da un piccolo gambo.
Apotecio 2-9 mm di diametro, a forma di una piccola coppetta, superficie interna (Imenio) liscio, bruno-olivaceo, bruno-nerastro, superfice esterna leggermente più chiara, margine liscio, regolare, concolore.
Gambo concolore, corto, spesso, cilindrico, raccordato alla superficie esterna.
Carne fragile, ceracea.
Habitat strobili di Abete rosso(Picea abies).

Immagine 2 3

Microscopia:
Ascospore: ellissoidali, liscie, (8,00)8,86-9,72-10,55(11,06) × (4,10)4,32-4,39-5,04(5,26)µm,(n°64), Q= (1,79 )1,91 - 2,306(2,46), media 9,75 × 4,1µm, Qm= 2,1.
In una raccolta trovate spore germinanti.
Aschi: 2: cilindracei, ottosporici, amiloidi, (92,61)99,00-106,12-130,62(149,02) × (6,43)6,77-8,06-9,19(9,61)µm.
Parafisi: 2: filiformi, settate, forcate in basso, leggermente allargate all’apice (2,08)2,48-3,315-3,96(4,24)µm.
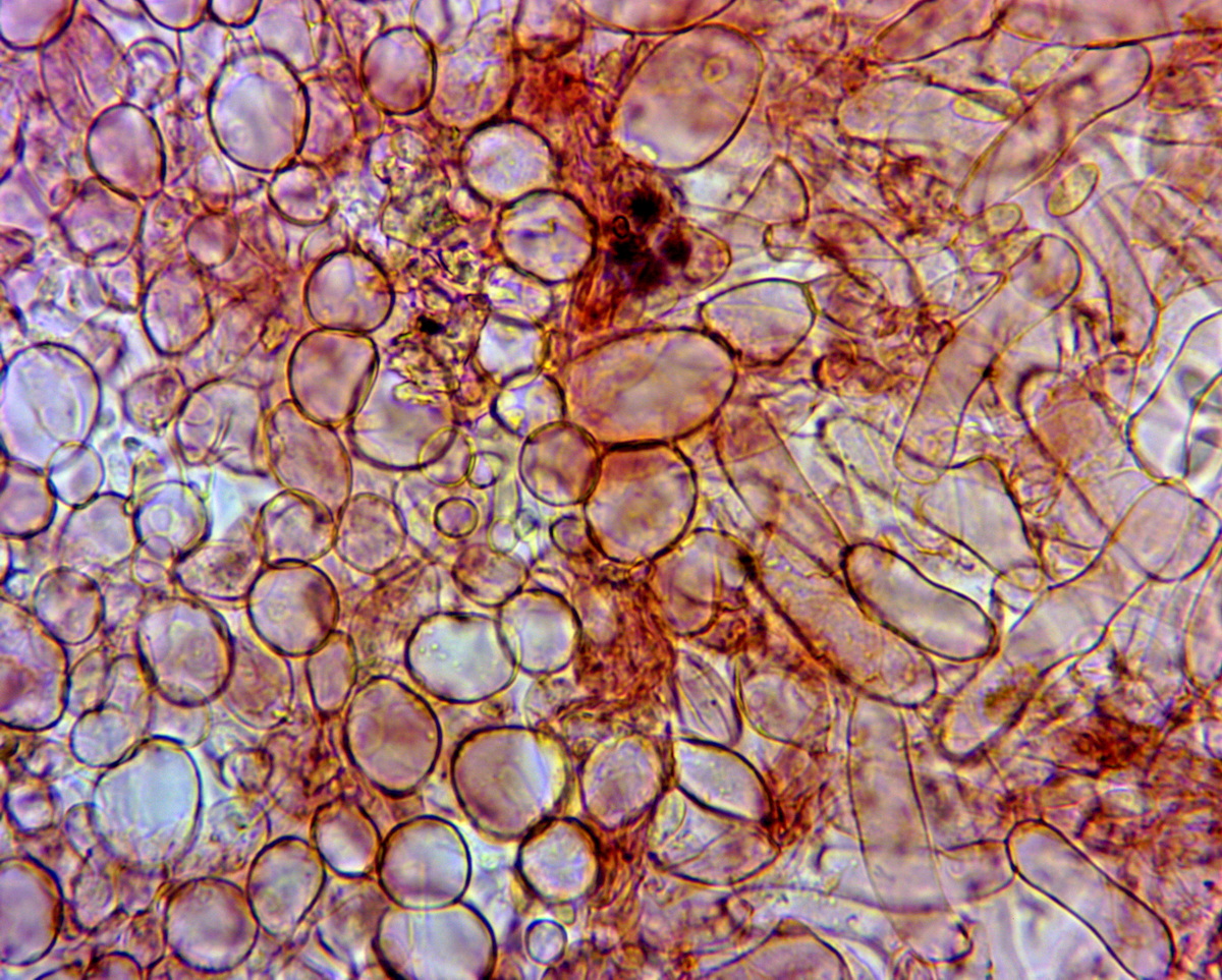
Excipulum medullare: a textura prismatica, farmato da cellule (26,06)26,70-38,39-43,38(51,71) x (7,48)8,64-10,395-15,29(16,90)µm.
Excipulum ectale: textura globulosa, formato da cellule (11,07)11,71-13,225-18,46(19,82)µm di diametro.
Excipulum

Ambiente: Boschi di aghifoglie


[< Precedente] [HOME] [Seguente >]