Peziza succosa Berk. (1841)
Sinonimi:
Galactinia succosa (Berk.) Sacc., Syll. fung. (Abellini) 8: 106 (1889)
Otidea succosa (Berk.) Thüm.
Plicaria succosa (Berk.) Rehm

Etimologia: Peziza, dal greco “pézis”= funghi dal gambo piccolo o nullo, (descritti da Teofrasto), e succosa, da “succus sucus”= succo, umore, succoso, ricco di umori, ricco di succo, per la presenza alla rottura della carne di un lattice acquoso.

 

Ascocarpo composto da un apotecio sessile.
Apotecio 10-40 mm di diametro, irregolarmente cupoliforme, imenio liscio, con centro ± grinzoso, nocciola, bruno-pallido, superficie esterna più chiara, pruinosa specialmente verso l’orlo, margine ondulato, irregolarmente lobato, concolore, volgente al giallastro.
Carne cassante, alla frattura secerne un latice acquoso biancastro, rapidamente giallo.
Habitat Abete rosso(Picea abies)-Ontano nero(Alnus glutinosa).

Immagine2

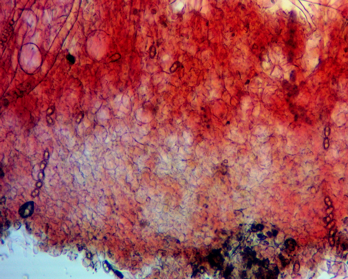
Microscopia:
Aschi: 2: cilindrici, amiloidi, ottosporici, (268,55)276,30-287,335-331,58(351,48) × (9,46)10,34-12,5-14,00(14,14)µm.
Ascospore: 2: 3: ellissoidali, biguttulate, grossolanamente verrucose e brevemente crestate, (17,60)17,94-18,59-19,78(20,40) × (9,08)9,78-10,29-11,14(11,41)µm, Q= (1,67)1,706 - 1,927(2,06) n°52, media 18,92 x 10,40 µm, Qm= 1,82.
Parafisi: 2: cilindriche, settate, sovente ramificate, allargate all’apice, (6,43)6,82-8,67-9,03(10,28)µm.
Subimenio: 2: formato da cellule subcilindriche poliedriche(7,74)7,74-8,61-11,73(12,40) × (4,90)5,37-7,155-8,37(8,59µm.
Excipulum medullare superiore: 2: a textura intricata, composto da ife cilindriche, settate, con diametro (4,95 )6,507 - 12,712(14,42)µm, disposta perpendicolarmente all'imenio.
Excipulum medullare inferiore: 2: a textura globulosa, con elementi subglobosi globulosi (34,96)38,15-56,26-61,89(68,08) × (27,91)31,07-45,8-49,60(53,24)µm, frammisti a rade ife.
Excipulum ectale: 2: a textura globulosa costituito da cellule (6,44)9,07-11,97-16,83(19,86) × (6,06)7,07-8,745-13,40(16,14)µm, mescolate ad ife settate, costituenti una textura intricata ben differenziata dall'excipulum medullare superiore, con elementi terminali 2.

Ambiente: Boschi di aghifoglie e latifoglie

[< Precedente] [HOME] [Seguente >]