Lacrymaria lacrymabunda (Bull.) Pat. (1887)

Sinonimi:
Agaricus lacrymabundus Bull., Herbier de la France 5: tab. 194 (1785)
Hypholoma velutinum (Pers.) P. Kumm., Führer Pilzk. (Zwickau): 72 (1871)
Lacrymaria lacrymabunda f. gracillima J.E. Lange, Fl. Agaric. Danic. 4: 72 (1939)
Lacrymaria lacrymabunda var. velutina (Pers.) J.E. Lange, Fl. Agaric. Danic. 4: 72 (1939)
Psathyra lacrymabunda (Bull.) P. Kumm., Führer Pilzk. (Zwickau): 71 (1871)
Psathyrella lacrymabunda (Bull.) M.M. Moser [as 'lacrimabunda'], Mem. N. Y. bot. Gdn: 53 (1972)
Psilocybe areolata (Klotzsch) Sacc., Syll. fung. (Abellini) 5: 1043 (1887)
Psilocybe cernua var. areolata (Klotzsch) Bres., (1931)

Etimologia: Lacrymaria, forma ortograficamente scorretta da “lácrima”= lacrima, funghi che gemono stille simili a lacrime aderenti alle lamelle, e lacrymabunda, forma ortograficamente scorretta per “lacribabundus”= lacrimoso, piangente, con le lacrime agli occhi, epiteto rafforzativo del genere.

 

Cappello 20-50 mm di diametro, campanulato, convesso poi appianato con umbone ampio e ottuso, finemente feltrato, fibrilloso, bruno-ocraceo-rossastro, margine appendicolato con resti di velo bianco.
Lamelle largamente adnate smarginate, fitte, crema-giallastre, a bruno-grigiastre, infine nerastre, filo lamellare biancastro, lacrimanti delle piccole guttule nerastre.
Gambo 50-100 mm, cilindrico, attenuato alla base, fistoloso poi cavo, fibrilloso fioccoso, screziato da resti di velo, bruno-ruggine su fondo giallastro, con zona anulare fugace nerastra per la caduta delle spore.
Carne bianco-giallastra-ocracea.
Sapore astringente, sgradevole, amarognolo.
Odore insignificante.
Habitat resti legnosi marcescenti di latifoglia e conifera.

Immagine 2

Microscopia:
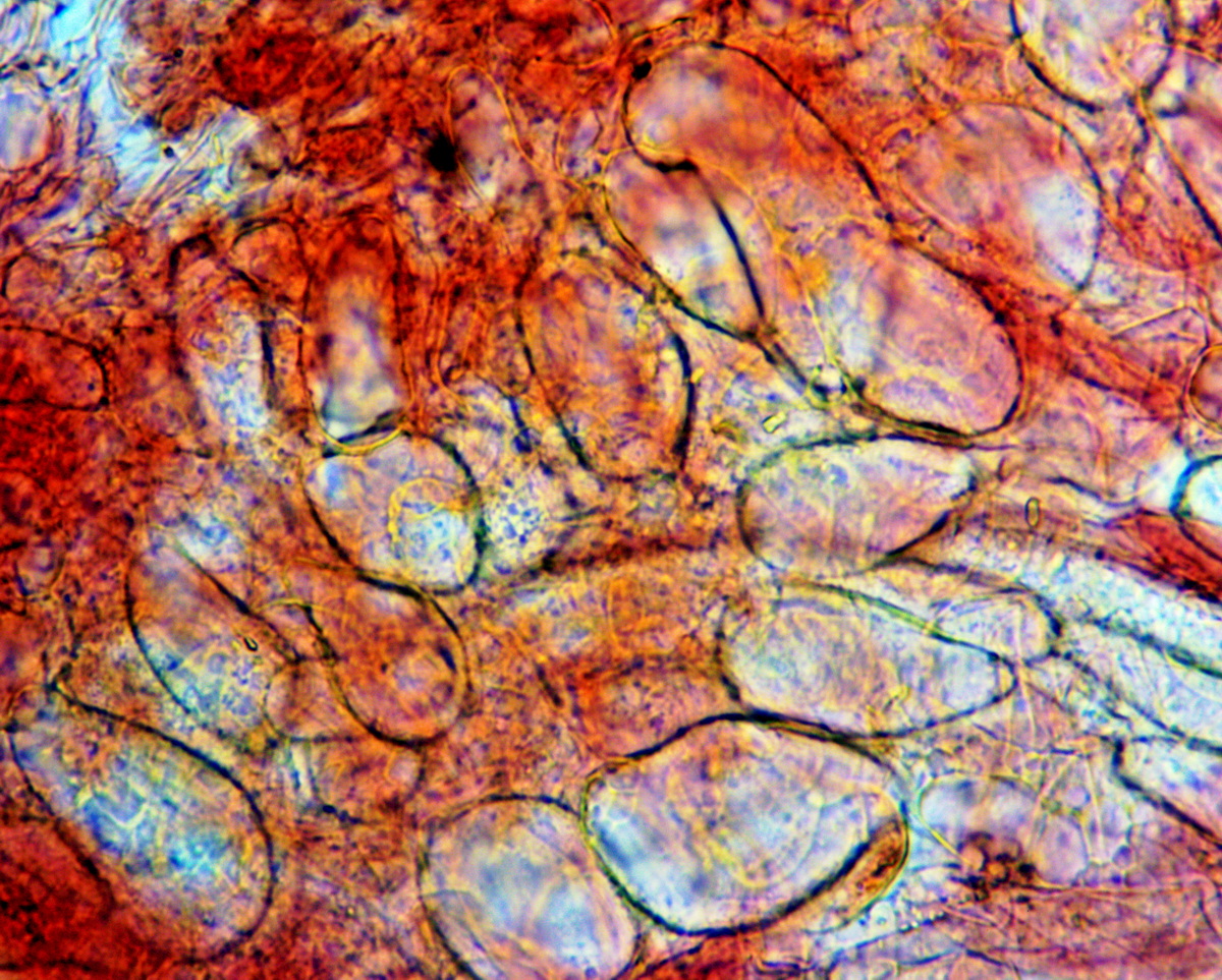
Spore: 2: amigdaliformi, a ellissoidali, subovoidali, grossolanamente verrucose, con grosso poro germinativo, (8,79)9,23-10,015-10,36(10,84) × (4,81)5,27-5,72-6,23(6,61)µm, (n°62), Q= (1,40 )1,583 - 1,88(1,95), media 9,8 × 5,75, Qm= 1,71.
Basidi: clavati, tetrasporici, (19,79)21,13-22,56-26,69(31,25) × (8,12)8,34-8,85-9,23-(10,17) µm.
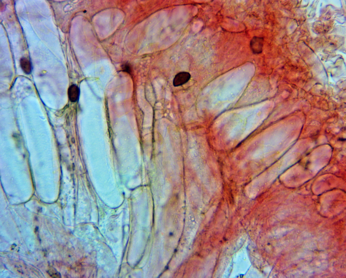
Cheilocistidi: 2: 3: cilindrici, clavati, capitati, subcapitati, sinuosi, (56,57)58,20-72,58-76,13(78,80) × (8,40)8,67-9,93-11,29(11,71)µm.
Caulocistidi: 2: all’apice del gambo ± simili ai cheilo.
Pileipellis: 2: tipo imeniderma, formata da cellule claviformi a subglobose, (34,17)35,01-35,665-49,62(50,73) × (16,78)18,59-21,44-23,14(23,48)µm, e da ife 2 cilindriche parallele, (5,48)6,14-9,7-12,62(14,47)µm, di diametro.
Giunti a fibbia presenti

Ambiente: Boschi di aghifoglie e latifoglie

[< Precedente] [HOME] [Seguente >]