Cortinarius striæpilus J. Favre (1948)

Sinonimi:
Hydrocybe striaepila (J. Favre) M.M. Moser, in Gams, Kl. Krypt.-Fl. Mitteleuropa - Die Blätter- und Baupilze (Agaricales und Gastromycetes) (Stuttgart) 2: 168 (1953)

Etimologia: dal latino “cortinarius”= attinente alle cortine, per i caratteristici residui del velo parziale, e dall’aggettivo “striaepilus” significa “con il cappello striato”.

 

Cappello 15-30 mm di diametro, conico-convesso poi appianato, con piccolo umbone da appuntito a ottuso, igrofano, liscio, rosso-bruno-carico con umidità, umbone bruno-nerastro, schiarente al bruno-ocraceo con tempo asciutto, margine striato per trasparenza più chiaro, ondulato, fessurato.
Lamelle adnate-smarginate leggermente decorrenti, intercalate da lamellule di varia lunghezza, abbastanza fitte, larghe, ventricose, bruno-aranciate con riflessi giallastri, infine bruno-cannella, filo lamellare intero, a leggermente eroso più chiaro.
Gambo 50-60 mm, cilindrico, flessuoso, base leggermente allargata, bruno, ricoperto da abbondante velo fibrilloso biancastro, e forma un anello incompleto nel ¾ superiore presto fugace, sommità con riflessi violetti-lilacini, bruno scuro alla base.
Odore leggero di legno di cedro,
Sapore insignificante
Reazione macrochimica KOH cuticola e carne = bruno-nerastra.
Habitat Abete rosso(Picea abies)-Pino cembro(Pinu scembra) con Salice rosso(Salix purpurea).

Immagine 2

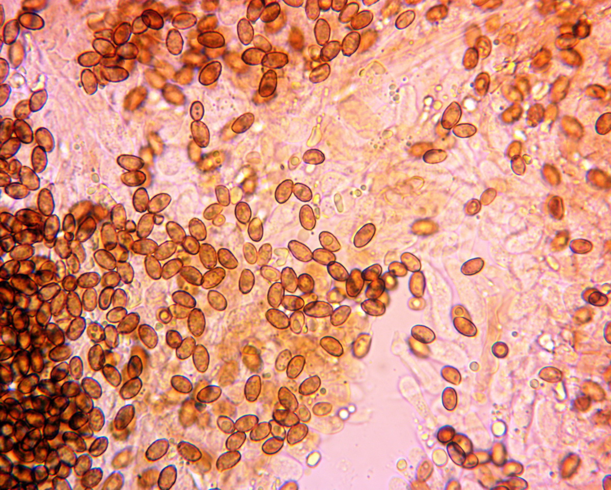
Microscopia
Spore: 2: ellissoidali, poco verrucose, (6,82)7,07-8,38-8,49(8,71) × (4,12)4,32-4,94-5,32(5,63)µm, Q= 1,42-2,01, media 7,78 × 4,88 µm, Qm= 1,62.
Cellule marginali: claviformi abbondanti.
Pileipellis: epicute sottile (3,22)3,83-5,605-8,01(8,57)µm, con pigmento zebrante brunastro, e finissime incrostazioni, Ipoderma con ife larghe (13,61)14,37-18,51-29,97(32,13)µm pigmento membranario brunastro.

Ambiente: Boschi di aghifoglie e latifoglie

[< Precedente] [HOME] [Seguente >]